SFPIO Normandie, 31 mai : carte blanche à Gérard Chiche

  • Par
  • Publié le . Paru dans L'Information Dentaire n°24 - 19 juin 2019
Information dentaire

Dans le magnifique cadre du Salon des Ambassadeurs du casino de Deauville, les participants ont pu profiter des talents pédagogiques du conférencier et de l’excellence technique de son équipe de cliniciens et de prothésistes du département de dentisterie restauratrice à l’Université d’Augusta, en Georgie.

La résolution des problèmes esthétiques demande d’abord une approche systématique dans l’analyse diagnostique et dans l’élaboration du plan de traitement, surtout si celui-ci doit faire intervenir des thérapeutiques orthodontiques, chirurgicales ou paro-implantaires. Cette analyse porte essentiellement sur les rapports qu’entretiennent, dans les plans frontal et sagittal, les dents antérieures avec les lèvres du patient au repos ; la ligne du sourire ; les volumes et les proportions des incisives. Les constatations initiales sont comparées à des valeurs de référence.

Ces paramètres clés doivent permettre au clinicien de transmettre les informations esthétiques initiales et les corrections souhaitées au prothésiste pour la réalisation des céraplasties (wax-up) ou des montages directeurs. Ces simulations – qu’elles soient analogiques ou numériques – sont fondamentales, car elles vont servir de guide à la construction du plan de traitement et permettre d’en expliquer la logique au patient afin d’obtenir son adhésion totale.

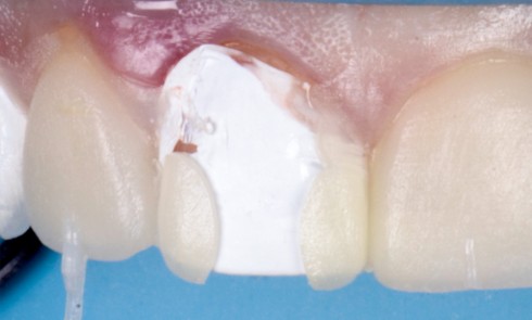
La réussite des restaurations esthétiques passe ensuite par des connaissances approfondies dans le domaine des biomatériaux. Les différents types de céramique d’abord : porcelaine feldsphatique, disilicate de lithium et zircone(s) dont il est indispensable de connaître les propriétés mécaniques et optiques. Car la sélection du matériau et le type de restauration (facettes, onlays, couronnes, bridges) dépendent essentiellement du résultat souhaité, du contexte occlusal, de l’espace prothétique disponible, de la coloration des substrats et de l’étiologie de la perte de substance que l’on souhaite remplacer.

De ces notions découlent les protocoles de préparation qui doivent s’attacher à la préservation maximale des tissus dentaires, en particulier de l’émail, pour pouvoir privilégier le collage des restaurations ; mais aussi au contrôle rigoureux des épaisseurs de matériau pour en éviter les fractures.

La sélection des matériaux et des protocoles de collage a également été très précisément détaillée sur la base des résultats les plus actuels de la recherche sur les biomatériaux et l’adhésion aux tissus dentaires.

L’autre paramètre, trop souvent négligé mais pourtant essentiel au succès et à la pérennité des restaurations prothétiques, est celui de l’occlusion. Une parfaite compréhension des paramètres fonctionnels (dimension verticale, guidage antérieur) est, de ce fait, indispensable. Partant du constat qu’un fort recouvrement incisif en occlusion augmente le risque d’usure par attrition, le Pr Chiche a développé les raisons qui peuvent amener le clinicien à augmenter la dimension verticale d’occlusion (DVO) :

  • pour ménager un espace prothétique suffisant ;
  • pour diminuer le recouvrement incisif et augmenter le surplomb incisif ;
  • pour corriger un plan d’occlusion très irrégulier ;
  • pour assurer une continuité esthétique entre les parties postérieures et antérieures des arcades.

Le bon comportement des restaurations céramiques dans le temps est sous la forte dépendance de la bonne répartition des forces fonctionnelles (schéma occlusal et réglage du guidage antérieur) et dans le contrôle des éventuelles forces parafonctionnelles auxquelles elles seront soumises. Les différentes étiologies et les manières d’y faire face ont été clarifiées.

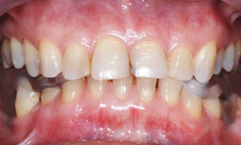
De très nombreux cas cliniques ont illustré cette journée. Certaines situations particulières ont permis de discuter le recours aux bridges collés en disilicate de lithium ou en zircone, et de toujours veiller au strict respect des épaisseurs minimales de matériaux, en particulier au niveau des connecteurs. Des cas de traitement multidisciplinaires ayant fait intervenir des techniques d’extrusion ou d’intrusion orthodontiques ou des techniques reconstructrices de chirurgie maxillo-faciale ont littéralement bluffé l’assistance.

Les restaurations prothétiques implantaires ont également été représentées, de l’édentement unitaire à la réhabilitation complète implanto-portée. Le Pr Chiche a détaillé les différentes règles de conception, les matériaux et insisté sur la prévention des complications biologiques et mécaniques de ce type de restauration.

À la fin de cette journée, les participants enthousiastes ont tous apprécié l’humilité avec laquelle le Pr Chiche a présenté des dizaines de cas cliniques tous aussi spectaculaires les uns que les autres, témoignant ainsi de sa grande expérience dans le domaine de l’esthétique dentaire. Un hommage particulier a été rendu aux cliniciens de son équipe (les Drs J. Londono, D.J. Panna, M. Tadros, S. Aimplee, M. Silva, S. Dang), mais également au talent des maîtres-prothésistes (Mrs A. Torosian et I. Sung).

La beauté de leurs réalisations, la clarté des concepts abordés, la disponibilité du conférencier et la qualité de l’accueil de l’équipe de la SFPIO Normandie ont fait de cette « masterclass » une réussite totale.

Thèmes abordés

Commentaires

Laisser un commentaire

Sur le même sujet

Actualité Évènement

Article réservé à nos abonnés Lauréates du Grand Prix PAD 2025

Le Geste Parfait Gouttières d’éclaircissement sur mesure ou prêt-à-porter Les critères d’évaluation étaient la qualité des images (netteté, mise en...
Actualité Évènement

Article réservé à nos abonnés ADF 2025
Ce qu’il faut retenir des conférences dédiées aux assistant(e)s

Contre les troubles musculo-squelettiques : bougez ! Responsable scientifique : Bernard Fleiter Intervenants : Christophe Bittolo, Anthony Halimi, Nicolas Fougeront,...
Évènement

« Mars bleu » : focus sur le dépistage du cancer colorectal

Le dépistage du cancer colorectal demeure insuffisant en France, avec un taux de participation de 29,6 %, stable depuis 2020 et inférieur...
Évènement

Article réservé à nos abonnés Assises Orthodontie & Chirurgie Orthognathique – « Le Rendez-vous de l’innovation et du partage des bonnes pratiques »

Dans le cadre des Assises Face et Cou 2026, les Assises Orthodontie & Chirurgie Orthognathique proposeront 10 ateliers 2 ateliers croisés Orthodontie /...
Évènement

Article réservé à nos abonnés Les MIH : l’essentiel en une fiche pratique !

15 questions (et leurs réponses) pour mieux appréhender cette anomalie de structure fréquente Samedi 29 novembre – 9h/11h30 Responsable scientifique :...
Évènement

Gouttières occlusales : les clés du succès

Samedi 29 novembre – 9h/12h – Atelier de travaux pratiques E99 Responsable scientifique : Benjamin Woloszczyk Conférenciers : Christèle Labe, Simon Labe,...