Restaurations postérieures indirectes en composite – Partie II

  • Par
  • Publié le . Paru dans Réalités Cliniques n°4 - 15 décembre 2018 (page 267-274)
Information dentaire
RésuméLes restaurations indirectes en composite peuvent être fabriquées selon deux procédés : artisanalement, avec des composites sous forme de pâte, ou par CFAO, à partir de blocs à usiner. Après la présentation des matériaux dans la première partie de l’article, cette seconde partie décrit et discute le protocole clinique de réalisation des restaurations indirecte en composite.

Abstract Composite indirect posterior restorations
Part II: Clinical production protocol
Indirect composite restorations can be manufactured using two processes: artisanal, with composite pastes, or CAD/CAM, from blocks to be machined. After presenting the materials in the first part of this article, this second part describes and discusses the clinical protocol for producing indirect composite restorations.

Protocole clinique de réalisation

Quel que soit le matériau sélectionné pour réaliser une restauration partielle indirecte en composite, la procédure clinique reste la même et est bien codifiée.

Une restauration indirecte réalisée en composite par méthode artisanale nécessite deux séquences cliniques, alors que celle usinée à partir de bloc peut être réalisée en une seule séance clinique, si le praticien possède le logiciel pour la conception de la restauration, couplé à une usineuse pour sa fabrication.

Étapes du protocole

• Enregistrement de la couleur : différentes techniques peuvent être utilisées pour enregistrer la couleur. L’utilisation d’un teintier ou d’un guide des teintes spécifiques reste la technique la plus utilisée. L’utilisation de photographie est aussi d’une aide précieuse en particulier pour communiquer les masses de caractérisation.
• Vérification des contacts occlusaux.
• Anesthésie locale de la dent à restaurer.

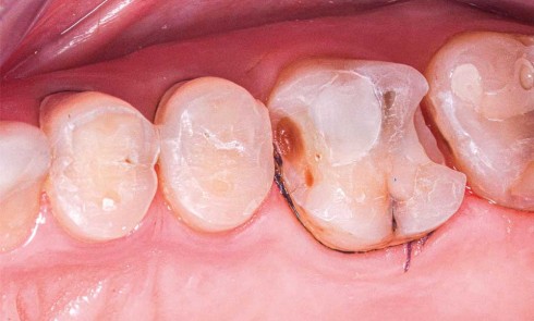
• Ouverture de la cavité et/ou dépose d’ancienne restauration et curetage du tissu carieux.
• Évaluation de l’épaisseur d’émail et de dentine et réduction des tissus non soutenus : en vue de respecter les principes de conservation des tissus dentaires, les parois minces et fragiles de la cavité peuvent être conservées et renforcées avec du composite. De nombreux auteurs recommandent une largeur ou épaisseur minimale des parois de 2 mm avant renforcement pour les dents pulpées et 3 mm pour les dents dépulpées [1-5]. Nous retiendrons donc ces valeurs même si certains auteurs indiquent qu’une valeur de 1 mm [6] peut donner satisfaction.
Dans les situations où la paroi est plus fine, un recouvrement de cette dernière est recommandé. En revanche le recouvrement occlusal systématique des cuspides n’est pas recommandé. En effet aucune étude à ce jour apporte la preuve du renforcement de la résistance de la dent par une telle attitude, de surcroît délabrante.
• Isolation de la cavité avec…

Cet article est réservé aux abonnés.
Pour lire la suite :

Vous êtes abonné.e ? Connectez-vous
Mot de passe
oublié ?

Vous pouvez également :

Acheter l'article En version numérique
Acheter le numéro À l'unité

Thèmes abordés

Sur le même sujet

Odontologie restauratrice

Article réservé à nos abonnés Risque de récidive orthodontique et bridge cantilever : quid de la contention ?

La proportion de patients présentant une ou des agénésies d’incisives latérales maxillaires est fréquente, touchant environ 4,6 % des hommes et...
Odontologie restauratrice

Article réservé à nos abonnés Les bridges collés cantilevers en céramique antérieurs à l’épreuve du temps

L’édentement unitaire du secteur antérieur constitue l’une des situations cliniques parmi les plus délicates à prendre en charge, tant sur...
Odontologie restauratrice

Article réservé à nos abonnés Réhabilitations postérieures minimalement invasives : complémentarité entre bridges collés cantilevers en céramique et implants

En France, la géométrie des cantilevers en céramique a d’abord été formalisée et diffusée dans le secteur antérieur par les...
Odontologie restauratrice

Article réservé à nos abonnés Évolution des lampes à photopolymériser couplées aux outils de diagnostic en dentisterie restauratrice

Depuis plusieurs décennies, la dentisterie restauratrice connaît un essor considérable grâce aux progrès des matériaux composites et des sources lumineuses...
Odontologie restauratrice

Article réservé à nos abonnés Intégrer le traitement non chirurgical dans son activité quotidienne

Responsable de séance : Philippe Doucet Conférenciers : Frédéric Duffau, Benjamin Perron Jusqu’où peut-on aller avec le traitement non chirurgical Diagnostic : socle...
Odontologie restauratrice

Article réservé à nos abonnés Sensibilités postopératoires : les comprendre pour les éviter

Rappels anatomo-physiologiques Les sensibilités postopératoires trouvent leur explication principale dans la théorie hydrodynamique de Brännström (fig. 1). Les tubuli dentinaires...