Les restaurations directes et indirectes postérieures

  • Par
  • Publié le . Paru dans L'Information Dentaire n°37 - 28 octobre 2020 (page 76-90)

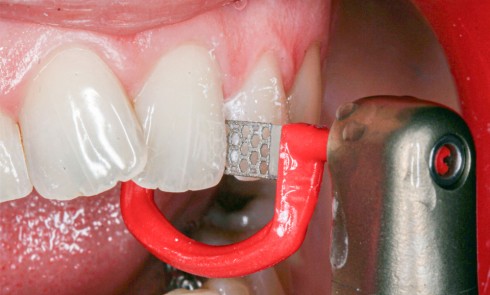
5. Apport de masse émail.

Information dentaire

L’objectif principal de la dentisterie restauratrice contemporaine est de reproduire la fonction et les performances de la dent naturelle. Il ne faut plus considérer uniquement la longévité de la restaurationmais de la dent restaurée [1].

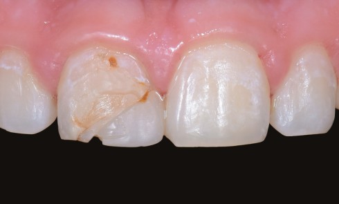
La perte de substance intéresse deux types de tissus, l’émail et la dentine, ayant des caractéristiques et des propriétés différentes. Ces paramètres, ainsi que le volume de la perte de substance, sont à prendre en compte pour le choix du mode de restauration.

La durée de vie des restaurations varie selon le matériau utilisé, le protocole, la qualité de l’opérateur, mais aussi le patient (parafonction, risque carieux, hygiène…).

Il existe deux grands types de restauration de perte de substance : directe et indirecte.

Les restaurations indirectes ont montré des performances mécaniques supérieures aux restaurations directes [1, 11-13], ce qui en a fait la solution de choix pour les pertes de substance importantes dans les secteurs postérieurs.

Le matériau de choix pour les restaurations directes de petite et moyenne taille est le composite [1-3]. Les principales causes d’échec des restaurations directes observées sont : la fracture de la restauration, la fracture de la dent elle-même, la perte de la morphologie, la perte de l’étanchéité marginale et la reprise de carie [2, 11, 13, 15].

La démocratisation des composites microhybrides et l’apparition de nouveaux matériaux utilisés comme substituts dentinaires tels que les composites fibrés et les CVI [16, 19] permettent de repousser les limites en matière de restauration directe [4-6]. Toutefois, les restaurations directes ne peuvent répondre à toutes les situations cliniques [14].

Les matériaux pour les restaurations indirectes sont les composites, les matériaux hybrides et la céramique (disilicate de lithium). Ces restaurations sont assemblées par collage de la pièce aux structures dentaires sous-jacentes après préparation et conditionnement du substrat dentinaire.

La maîtrise de la pose du champ opératoire est un élément important, aussi bien lors de la réalisation de la préparation que lors de l’assemblage.

Rappel sur les composites

Un matériau composite…

Cet article est réservé aux abonnés.
Pour lire la suite :

Vous êtes abonné.e ? Connectez-vous
Mot de passe
oublié ?

Vous pouvez également :

Acheter le numéro À l'unité

Thèmes abordés

Sur le même sujet

Esthétique

Article réservé à nos abonnés Éclaircissement dentaire sans empreinte. Une pratique moderne portée par l’assistant(e) dentaire

L’éclaircissement dentaire peut être réalisé à domicile (technique ambulatoire) à l’aide de gouttières porte-gel sur mesure fabriquées après prise d’empreinte...
Esthétique

Article réservé à nos abonnés Le collage des facettes : protocole et astuces

Responsable de séance : Romain Cheron Opérateur : Anthony Atlan Conférencier : Maxime Drossart Planification et préparation du cas clinique Une patiente consulte...
Esthétique

Article réservé à nos abonnés Production des aligneurs au cabinet

Le flux de production au cabinet Le flux de travail (fig. 1) commence par une empreinte optique réalisée à l’aide d’un...
Esthétique

Article réservé à nos abonnés Fermer les triangles noirs grâce à l’ODF

Le mot de la rédaction Les triangles noirs : voilà un sujet qui suscite tout notre intérêt ! En tant qu’orthodontistes, quels sont les facteurs...
Esthétique

Article réservé à nos abonnés Réhabilitation minimalement invasive d’une incisive centrale par une facette unitaire en céramique

La restauration d’une incisive centrale unitaire constitue un défi clinique majeur en raison de son rôle fondamental dans l’esthétique du...
Esthétique

Article réservé à nos abonnés Réhabilitation esthétique globale et correction d’un plan esthétique oblique

L’équilibre esthétique du sourire repose sur l’alignement des structures dentaires et gingivales avec les lèvres et certains repères faciaux. Face...