Formation

Article réservé à nos abonnés Hypersensibilité et récessions : l’apport du tunnel modifié

Grand Prix éditorial 2025 – Hypersensibilité dentinaire et qualité de vie 1er cas lauréat 2025 Objectif et phase thérapeutique Une patiente...

Article réservé à nos abonnés De l’hypersensibilité à la stabilité : une situation mucogingivale

Grand Prix éditorial 2025 – Hypersensibilité dentinaire et qualité de vie 3e cas lauréat 2025 L’examen clinique révèle la présence de...

Article réservé à nos abonnés Récessions, hypersensibilité dentinaire et impact sur la qualité de vie

Grand Prix éditorial 2025 – Hypersensibilité dentinaire et qualité de vie 2e cas lauréat 2025 Cas clinique Une patiente vient consulter...

Article réservé à nos abonnés Stress du chirurgien-dentiste : du mythe du « bon stress » à la gestion pragmatique

Le stress est devenu une composante majeure de l’activité des soignants, et plus particulièrement des chirurgiens-dentistes. L’environnement professionnel est de plus en plus complexe,...
Chirurgie orale

Article réservé à nos abonnés Coffrage mandibulaire postérieur par lames corticales autologues conformées en exobuccal

Les 28es assises de Chirurgie orale seront organisées à Cannes du 22 au 24 janvier, sur le thème « Nouvelles technologies...
Chirurgie orale

Article réservé à nos abonnés Implantologie 2.0 : gestion digitale dans le traitement de l’édenté complet

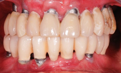
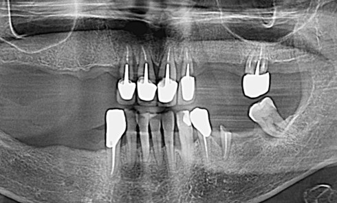
Contexte clinique et objectifs Une patiente partiellement édentée mandibulaire se présente avec les dents 33, 35, 36 et 43 compromises (alvéolyse...
Chirurgie orale

Article réservé à nos abonnés L’os allogénique en chirurgie pré-implantaire

Les 28es assises de Chirurgie orale seront organisées à Cannes du 22 au 24 janvier, sur le thème « Nouvelles technologies...
Chirurgie orale

Article réservé à nos abonnés Gestion d’un échec esthétique implantaire antérieur par greffes conjonctives et bridge cantilever zircone

Les 28es assises de Chirurgie orale seront organisées à Cannes du 22 au 24 janvier, sur le thème « Nouvelles technologies...
Odontologie restauratrice

Article réservé à nos abonnés Comment échouer dans la réalisation des restaurations en résine composite dans le secteur antérieur ?

En inversant par analogie le célèbre principe d’Adam Smith, philosophe et économiste écossais, selon lequel plus le travail est divisé,...

Article réservé à nos abonnés La strip technique : une alternative à la greffe gingivale libre dans le traitement des défauts muco-gingivaux post-augmentations osseuses ?

Contexte – Processus de décision La traction des lambeaux, nécessaire pour assurer la fermeture primaire des berges lors des procédures...
Dermatologie buccale

Article réservé à nos abonnés Maladie de Crohn : quand la bouche envoie un signal d’alerte !

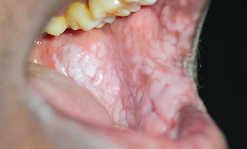
Anamnèse Une patiente de 29 ans, sans antécédent médical rapporté et non-fumeuse, consulte pour une inflammation gingivale persistante, malgré plusieurs...

Article réservé à nos abonnés Technique chirurgicale combinée pour le traitement de récession unitaire en secteur esthétique après défaut de cicatrisation (cul-de-sac gingival)

Une récession gingivale correspond à l’exposition de la surface radiculaire, due à la migration apicale de la gencive marginale au-delà...
Implantologie, Implantologie chirurgicale

Article réservé à nos abonnés Gestion d’un défaut de cicatrisation du plancher sinusien à l’aide d’une membrane en magnésium : rapport de cas

L’élévation sinusienne par voie latérale est une technique fréquemment utilisée en implantologie pour compenser une perte osseuse verticale au niveau...

Article réservé à nos abonnés L’administration locale de statine comme adjuvant du traitement parodontal : revue systématique de la littérature

RÉSUMÉ Objectifs La parodontite est une maladie inflammatoire d’origine bactérienne responsable de la destruction des tissus de soutien dentaires. Le traitement...
Implantologie chirurgicale

Article réservé à nos abonnés De l’hypersensibilité à la stabilité : une situation mucogingivale

Cas clinique Une patiente âgée de 34 ans, ne présentant aucune pathologie systémique connue et sans antécédents de tabagisme, consulte...
Implantologie chirurgicale

Article réservé à nos abonnés Récessions, hypersensibilité dentinaire et impact sur la qualité de vie

Cas clinique Une patiente vient consulter en raison de douleurs dentaires diffuses qui s’intensifient au brossage. Gênée par des récessions...